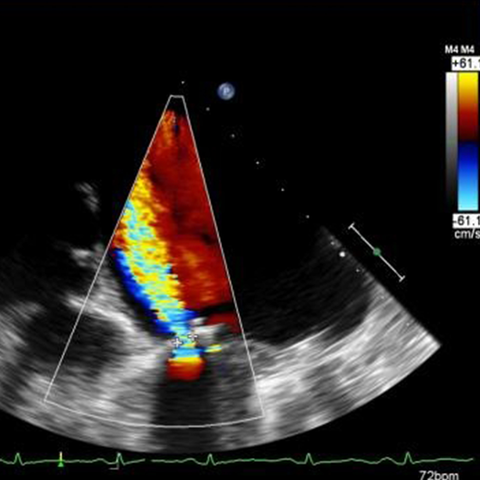
ECHOCARDIOGRAM An echocardiogram, or echo, is an ultrasound scan with the purpose of looking at the heart and nearby blood vessels. Reach out for more information! Home » Services » Echocardiogram